抗がん剤治療の
脱毛でお悩みの方
抗がん剤治療による脱毛でお悩みの方へ
〜メディカルアートメイクでできること〜
抗がん剤治療による脱毛で
お悩みの方へ
病気と向き合い、治療を進めていくことは何よりも大切なこと。しかし、やはり抗がん剤による副作用も気になります。
「髪の毛が抜けるとどんな風になってしまうのだろう?」「お気に入りのヘアスタイルが坊主になるなんて……」「髪の毛が抜けてもいつかは発毛して元通りになるのだろうか」 「眉毛がないと怖い印象になるのではないか」と想像するだけで気分が落ち込んでしまいます。治療前の印象を保つために、頭にはウィッグを着用、眉はアイブロウでしっかりと描くなど、気持ちが沈んでしまわないように対策を取っていきましょう。
その他にも、病と闘う中で少しでも気分が和らぐように、治療前にできることがあります。
それがアートメイクです。治療を開始して副作用で全部脱毛してしまう前に、アートメイクを施すことによって、治療前のイメージをあまり崩さずに治療を続けることが出来ます。自分も周囲の人にも変化が少ないことにより、社会活動の制限が少なくなります。
治療後、脱毛部分に発毛が見られても、違和感なく適応出来ます。
また、すでに脱毛している部分にアートメイクを施す場合は、脱毛前の写真を参考にしながら施術することで、印象を変えずに保つことが出来ます。
アートメイクは治療のためだけでなく、一般的にも普及しており、特に眉毛のアートメイクは育児中の時短や加齢による視力の低下により正しくアイメイクが出来ない方々も施術されています。もし、副作用によって脱毛し、見た目が大きく変わってしまうことが不安であれば、少しでもその思いを取り除く方法の一つとして、アートメイクがあることをお伝えしておきます。
抗がん剤を使用して治療する方の心を緩和することができれば幸いです。
抗がん剤治療によって
脱毛が現れる部位
脱毛は、髪の毛だけではなく、眉毛、まつ毛、鼻毛、体毛などにも生じます。
抗がん剤治療前にできること
髪の毛を短く切っておく
抜け落ちた髪の毛の処理を簡単にするため2〜3cmに切っておきましょう。短くする事で髪の毛の量が少なく感じられ、精神的な負担も軽くなります。
自分にあうウィッグや帽子を探しておく
医療用ウィッグや帽子、またはバンダナなどを治療前に探しておくことで、脱毛が始まった時のショックも和らぎます。
前もってウィッグをかぶる練習をしたり、自分に似合う帽子の色や柄を見つけたり、肌ざわりの良い素材を用意するなど、事前の準備が大切です。
眉毛やまつ毛が抜けたときのための化粧品を揃えておく
化粧品を用いて補うことができます。つけまつ毛や落ちづらいアイブロウペンシルなどを使って、治療前の印象と変わらないように見せる工夫が可能です。 脱毛前の写真を見ながらメイクするとよいでしょう。
頭皮に優しいシャンプーを探しておく
頭皮を傷めやすいため、刺激の少ないシャンプーを使用するとよいでしょう。
抗がん剤治療中に脱毛が
生じたら
ウィッグをつける
医療用ウィッグをご存知ですか?研究を重ねて様々な工夫がされています。自然に見えるよう色やデザインも豊富で簡単に着脱できるため、手軽に利用できます
メイクでカバーする
脱毛の気になる部分をメイクでカバーすることができます。アイブロウ、アイラインで目元をカバーし、髪の毛は、生え際や目立つところに髪の毛の色に近いパウダーをのせるなど、自然に見えるように工夫しましょう。発毛状況に合わせて自分で調整しながらメイクできます。
メディカルアートメイクの施術を受ける
治療をする前にメディカルアートメイクを施術するという方法もあります。
メディカルアートメイクとは
メディカルアートメイクとは、皮膚の浅い部分に色素を入れて、専用の機器を用いて色素を定着させていく施術です。眉毛やアイラインに施される事が多く、そのほかにも髪の生え際や脱毛部分、傷跡の修正にも用いられます。メディカルアートメイクは汗や水で落ちることはないため、脱毛している部分の色が急になくなることはありません。毎日、メイク道具を使って脱毛した部分を隠さなくても大丈夫です。メディカルアートメイクは医療従事者が行う医療行為です。一般的なサロンなどでは施術が受けられません。
汗や水で消えないメイク
日々のメイクは、毎日クレンジングが必要ですが、アートメイクはその必要がありません。汗や水で落ちないので、プールやスポーツ時でも安心です。発毛しても、違和感なく自然でいられることができます。
医療従事者が行う医療行為
アートメイクは医療機関でのみ施術を受けられる医療行為です。法律で定められているため、医療アートメイクやメディカルアートメイクと呼ばれています。
抗がん剤治療中でも受けられる
抗がん剤治療前に施術していただく方が良いですが、治療中でも主治医の許可があれば施術を受けることが可能です。
抗がん剤治療による脱毛で
お悩みの方に
おすすめの施術
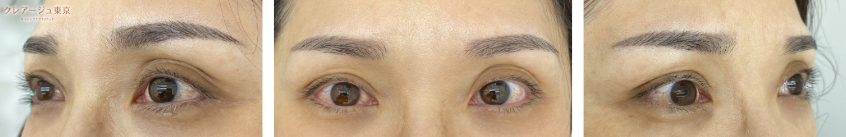
眉毛アートメイク(アイブロウアートメイク)
とても自然な感じの仕上がりになりますので、副作用がおさまり発毛しても違和感がありません。 脱毛の方だけでなく、メイクの時短を目的に施術される方も多くいらっしゃいます。
Before
After
施術部位:眉
施術回数:3回(パウダーグラデーション)
施術費用:3回分 132,000円(税込) ※初診料別
施術リスク:完全に消えることが無い など
アイラインアートメイク
まつ毛が脱毛し、目元に違和感が出る前に施術することで、目元の印象を今までと変わらず保つことができます。
Before
After
施術部位:アイライン
施術回数:3回(アイライン上)
施術費用:3回分 99,000円(税込) ※初診料別
施術リスク:施術後~2日目までの腫れ・チリチリとした痛み すぐには落ちない
メディカルアートメイクの注意点
抗がん剤で治療中の方は、主治医に相談し、許可をお取りください。 当クリニックでは施術の前に丁寧なカウンセリングを行っていますので、不安な点や不明な点はしっかりと相談することができます。
眉毛アートメイクのダウンタイムに、腫れが生じることはほとんどありません。個人差はありますが、痛みが生じる場合があります。施術後1〜2日程度は、赤みが出ることもあります。施術の際、痛みが気になる患者様には、希望があれば麻酔クリームを使用いたします。
そのため、痛みを感じることはほとんどなく施術を受けていただけます。また、基本的に施術後の痛みもほとんどありません。施術後、薄い皮が剥がれる場合がありますが、無理に剥がさないでください。1週間ほど保湿の軟膏を使用して保護します。
料金表
抗がん剤治療による脱毛で
お悩みの方は
お気軽にご相談ください
これまでに抗がん剤治療のために施術された方は複数いらっしゃいます。
精神的にとても助けになったと伺っております。
医師と相談しながら、無理のない範囲で心のケアのためにお役に立てれば幸いです。
